Запишите себя или детей на лечение и получите бесплатную консультацию
Лечитесь в комфорте и безопасности во сне на 30% быстрее с гарантией 14 дней и скидкой 10%
до конца марта!
Вылечить все зубы за одно посещение - теперь возможно
Более 1500 счастливых маленьких пациентов
Лучшие анастезиологи города
Почему люди выбирают севоран?
Безопасность для печени и почек
Минимальная токсичность, подходит пациентам с хроническими заболеваниями
Подходит для любого возраста от 3 до 75 лет
Мягкое воздействие на организм, сниженный риск осложнений
98% пациентов без побочных эффектов
Никакой тошноты, головокружения и прочих побочных эффектов
Пробуждение за 5–10 минут
Пациент быстро и легко выходит из под действия севорана без долгого восстановления
Листайте
Как проходит процедура
Время: 30–40 минут
  • Выясняет состояние здоровья и наличие хронических заболеваний
  • Уточняет возможные аллергические реакции
  • Объясняет, как работает Севоран и чего ожидать во время и после наркоза
  • Отвечает на все вопросы пациента и его родственников
  • Подбирает оптимальную дозировку и метод введения
Что происходит?
Консультация и диагностика
ЭТАП 1
Цель этого этапа – максимальная безопасность и индивидуальный подход к каждому пациенту
Время: 30–60 минут
  • Пациент делает несколько спокойных вдохов
  • Через 30–60 секунд наступает мягкий сон
  • Врач контролирует состояние пациента в течение всего времени
Что происходит?
Введение в анестезию
ЭТАП 2
Без уколов и боли – мягкое засыпание без стресса и неприятных ощущений
Время: 20–40 минут
  • Врач-анестезиолог постоянно контролирует работу сердца, дыхания и давление пациента
  • Доза анестезии регулируется индивидуально для комфортного и безопасного состояния
  • Если необходимо, комбинируется с другими методами обезболивания для лучшего эффекта
Что происходит?
Безопасное проведение операции или процедуры
ЭТАП 3
Все процессы тщательно отслеживаются, чтобы исключить любые риски
Время: 20–40 минут
  • Подача анестезии прекращается, и пациент начинает просыпаться
  • В среднем пробуждение занимает 5–10 минут
  • Человек чувствует себя комфортно, без тяжелого состояния и резкой дезориентации
  • Врач контролирует процесс выхода из наркоза, чтобы пациент чувствовал себя хорошо
Что происходит?
Легкое и быстрое пробуждение
ЭТАП 4
Благодаря свойствам Севоран пробуждение происходит мягко, без резких скачков давления и тошноты
Время: 20–40 минут
  • После пробуждения пациент остается под наблюдением врача еще 20–30 минут
  • Врач оценивает общее самочувствие и возможные реакции организма
  • Пациент может покинуть клинику в день процедуры, если нет противопоказаний
Что происходит?
Восстановление и контроль состояния
ЭТАП 5
Комфортные условия для наших пациентов! Без слез и боли!
Мы обеспечиваем комфортное и безболезненное лечение для детей и взрослых, включая седацию с севораном. Заботимся о пациентах на каждом этапе: 3D-диагностика на месте, анализы за наш счёт, а после наркоза – бизнес-такси для удобства.
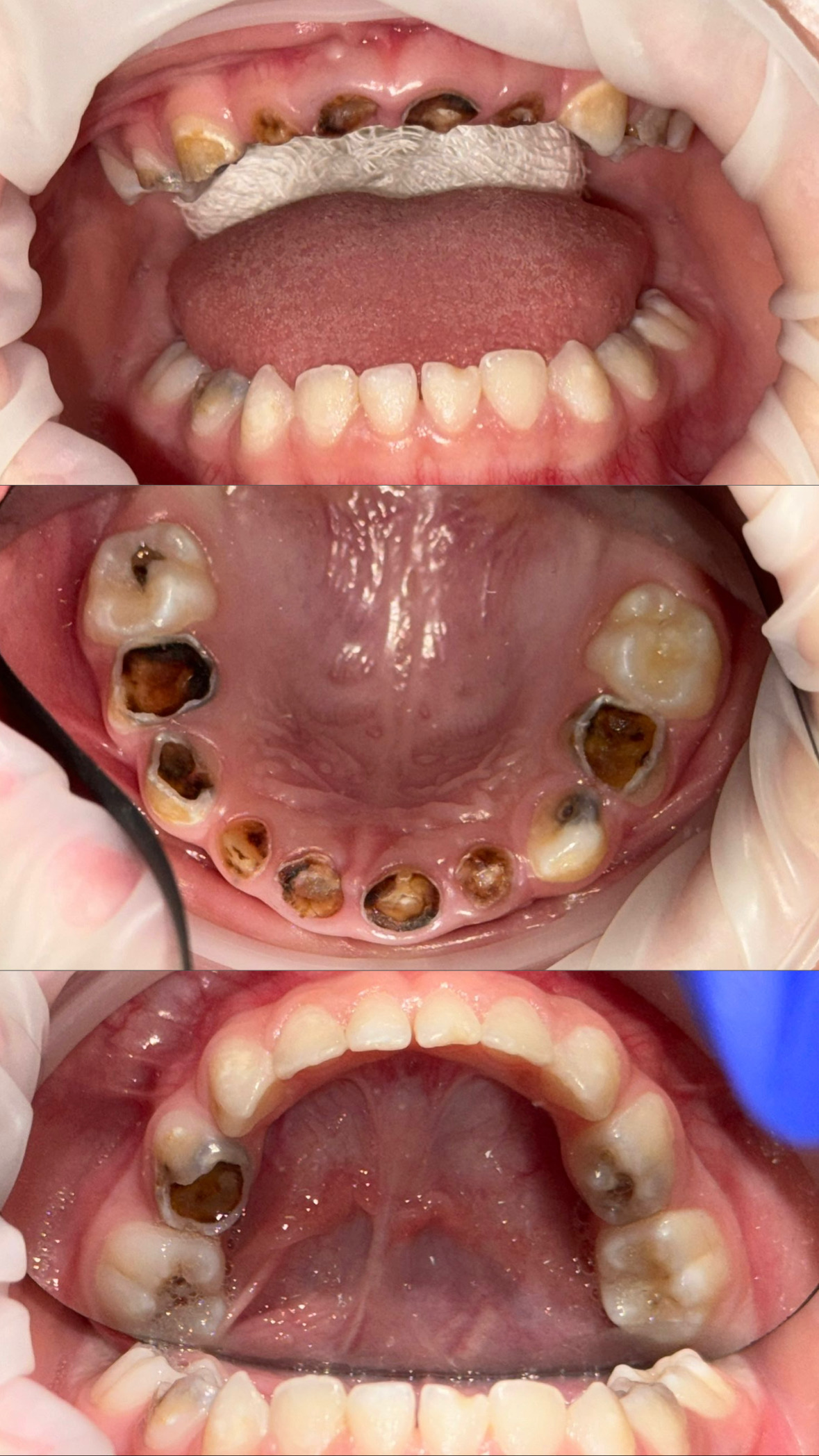
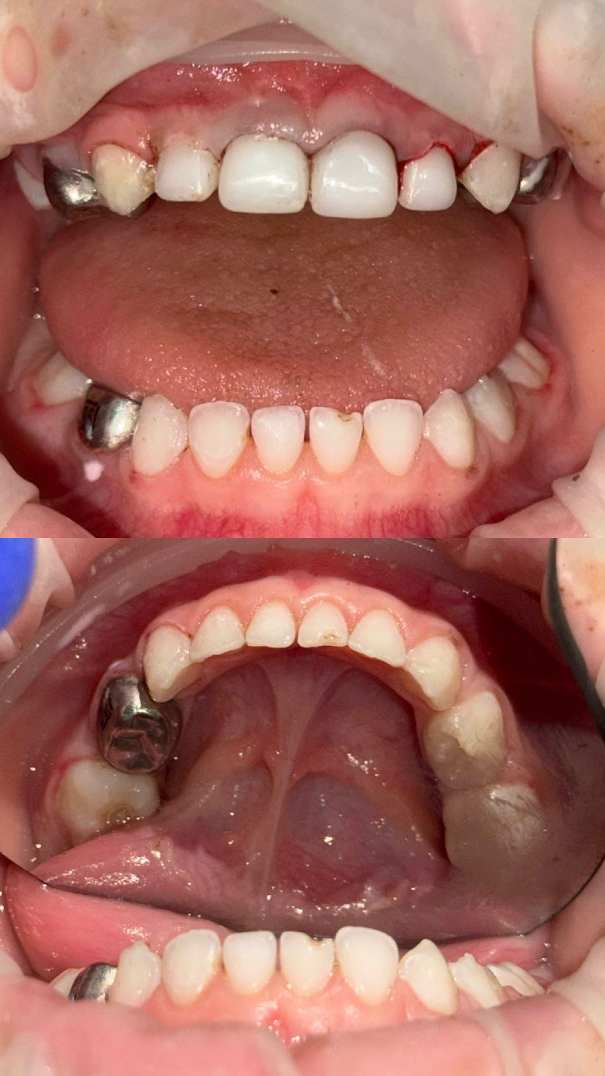
У девочки 4 лет диагностирован пульпит, периодонтит и кариес. Вылечено 14 зубов: на жевательных удалены нервы и установлены металлические коронки, передние восстановлены циркониевыми коронками после лечения каналов.
КЕЙСЫ
У девочки 2 лет сильное воспаление на 4 передних разрушенных зубах. Проведено лечение периодонтита, пломбировка каналов и восстановление циркониевыми коронками.
Девочке 4 года, мы лечили 14 зубов. По диагнозу пульпит, периодонтит и кариес. Жевательные зубы пролечили по диагнозу пульпит, удалили нерв, установили стандартные металлические коронки. Передние зубы на верхней челюсти лечили по диагнозу периодонтит, провели внутриканальную работу, установили эстетичные коронки из диоксида циркония.
Врачи, которым доверяют тысячи пациентов! Доверьтесь и вы!
ОТЗЫВЫ
детский терапевт
Аида Жомартовна
Наш детский терапевт — квалифицированный специалист, который заботится о здоровье вашего ребенка и предоставляет качественное лечение.
Специалисты, которые будут вас лечить
Часто задаваемые вопросы
Готовы выбрать комфортный и безопасный наркоз?
Запишитесь на консультацию прямо сейчас – бесплатно и без обязательств!
Мы позвоним и подробно проконсультируем. Гарантируем - никакого спама и рекламы
Получите скидку 10% на детское лечение во сне!
• Съемное и несъемное
протезирование
• Имплантация
• Ортопедическая реабилитация

АЛМАС НУРЛАНОВИЧ
• Установка зубных имплантатов в
кость челюсти
• Проведение костной пластики
• Удаление зубов любой сложности
• Имплантация
ДАУЛЕТ НУРЛАНОВИЧ
• Профессиональная гигиена зубов
• Лечение кариеса, пульпита, молочных зубов
(амбулаторно и под газом Севоран)
• Лечение кариеса постоянных зубов
АРАЙЛЫМ ЖАРКЫНБАЕВНА
• Лечение молочных и постоянных зубов
• Лечение кариеса, пульпита и периодонтита
• Пломбирование зубов и установка
временных коронок
• Лечение под наркозом севоран




АИДА ЖОМАРТОВНА
• Исправление прикуса
• Исправление зубочелюстных аномалий
• Неправильное положение зубов
• Коррекция деформаций а рамках подготовки к протезированию и имплантации




НУРСУЛУ СЕРИКОВНА
Пн-Вс с 09:00-21:00
Улица Казыбек би, 9/2

Контакты